
Belgian Tigers D* Rottweiler | ADRK Gebrauchshundezucht
Vater: >>> Ares vom Hammerschlag
mehrfach V platziert | IPO2, FH2, Teilnehmer ADRK FH DM | HD-/ED- | JLPP frei
Mutter: >>> Luna vom Spitzbubenberg
mehrfach V 1 platziert | BH; IPO/IGP1, Wesenstest, Ausdauerprüfung | HD-/ ED- | JLPP frei
Unsere Welpen sind bereits alle fest vergeben !!!
Unsere nächste WURFPLANUNG findet ihr
HIER
Wir freuen uns über rechtzeitigen Kontakt♥
Vom Decken bis zur Geburt | Dickebauchbilder müssen einfach sein :-)
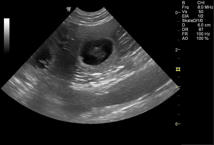
Wegen der gruseligen Wettervorhersage waren wir heute schon beim Ultraschall.
Das Ergebnis: Es hat geklappt - LOONIE IST TRAGEND 

Jöhööööööööööööö #hoffnung_macht_sich_breit♥
ROTTWEILER WELPEN IN SACHSEN ANHALT
Tag 28 der Trächtigkeit |
Ab sofort gibt es zweimal am Tag für eine kurze Zeit WURFKISTENPROBELIEGEN - Loonie findets doof 
Die Hälfte der Tragezeit haben wir geschafft | Loonie hat Hunger ohne Ende und sie ist megaaaaa aufdringlich, sie würde am liebsten in mich reinkriechen. Zudem ist sie arg zickig den anderen Hunden gegenüber. Sie benimmt sich wie eine waschechte Schwangere und wie man sieht, der Babybauch wächst 

Der 39zigste Tragetag | Loonie nutzt es aus, die uneingeschränkte Aufmerksamkeit zu bekommen.
Trotzdem ist die Wurfkiste weiterhin Pflicht und wie es aussieht, gewöhnt Madam sind endlich daran.
Tag 42 | 6 Wochen sind voll und ab heute gibt es eine zusätzliche Mahlzeit. Loonie futtert wie eine Angestochene und der kleine Babybauch nimmt langsam Formen an. Ich bin gespannt was sie uns da ausbrütet.
Tag 44
....und wieder eine kurze Einheit, WURFKISTENPROBESITZEN :-) Lonnie findets immer noch Kacke.
P.S. der Kugelbauch wächst 
Wir haben nur noch 2 Wochen bis zum Urknall.
| Heute bekommt Loonie eine Wurmkur.
Die Prinzessin ist weiterhin recht launisch.
Mal ist sie mega aufdringlich und kuschelig und dann hat sie plötzlich fürchterlich schlechte Laune. Die dicke Kugel macht ihr auch ganz schön zu schaffen.
Fressen geht auch nur noch in klitzekleinen Portionen und am Morgen möchte sie gar nichts. sieht aus, als wäre ihr da leicht übel. Der Bauch drückt wahrscheinlich ordentlich auf die Organe.
Wir sind wohl beide froh, wenn das Völkchen endlich draussen ist.
Loonie ist nun 8 Wochen tragend :-) | Das Ende ist in Sicht
Ich sage mal ganz vorsichtig, hier läuft es gut. Der Bauch wächst und Loonie geht es gut. Ihre Stimmungsschwankungen haben sich verzogen - JETZT ist sie etwas schwerfällig und sehr, sehr kuschelbedürftig
.
Ich, für meinen Teil, habe ein bisschen Angst vor der Geburt - sowas gab es noch nie in den letzten 22 Jahren, aber wir hatten ja zuvor auch noch nie einen Kaiserschnitt. Ich hoffe, es geht alles gut und wir kommen diesmal um einen Kaiserschnitt herum.
Morgen ist der 56. Tag der Trächtigkeit - das ist der Tag an dem die Welpen selbstständig atmen können, sollte es vorzeitigg losgehen.
Also haben wir die erste Hürde schon mal geschafft.
Außerdem hatte ich noch Angst das die Narbe vom letzten Kaiserschnitt platzen könnte, was aber recht unwahrscheinlich ist, weil der Bauch nicht soooooo riesig geworden ist. Es sieht also alles gut aus. 
Auf jeden Fall habe ich heute einen Glückscent gefunden - wenn das mal nicht ein weiteres gutes Zeichen ist.
Und nun auf in die letzte Woche - Daumendrücken wäre lieb
.
Wir sind wie ein altes Ehepaar, SIE WILL und ich mache 


JETZT gehts los | Wurfkistenbootcamp - auch in der Nacht.
Bisher mochten es alle meine Weiber - Loonie hasst es.
Wenn es nach ihr geht, bekommt sie die Welpen auf der Couch und ich wette, genau da sollen sie auch aufwachsen.
Ich denke wir haben Redebedarf
Aber eins ist Fakt, sie ist auch mit brumseligen Zornblick, meine Beste 
Tag 59 | Nur noch einige wenige Tage♥ | WIR WARTEN ♥
Wir empfangen Klopfzeichen
- ganz deutlich - sehr energisch und das Gesäuge füllt sich langsam.
Übern Tag hat Loonie zwei/dreimal für eine etwas längere Zeit etwas stärker gehechelt. Ihr Temperatur ist runter geangen auf 37,4°C und aus ihrem dicken Gesäuge tropft schon Milch. Loonie hat die ersten Senkwehen. Zudem strampeln die kleinen Tiger richtig derbe. Ich würde mal sagen, wir sind auf einen guten Weg. Abendbrot hat jedenfalls nochmal richtig gut geschmeckt - also dauerts noch :)
Allerdings möchte sie NICHT ins Wurfzimmer. Ich sehe es schon kommen, der erste Welpe landet sicher auf der Couch
.
Ich habe schonmal ne Ladung Handtücher bereit gelegt
- das Weib macht mich irre.
#die_Spannung_steigt
Tag 60 | Bei uns ist immernoch alles bestens
Loonie ist heute deutlich ruhiger als an den anderen Tagen und Frühstück wollte sie auch nicht, zudem ist ihre Temperatur schon gut runter gegangen auf 37,2°C. Zu meiner übergroßen Freude sind jedoch richtig viele Turbolenzen im Babybauch
erkennbar.
#wir_müssen_geduldig_sein
Tag 62 | Die Temperatur geht ganz langsam runter | Loonie hat letzte Nacht viel gehechelt und gestrampelt und hat mich einfach nicht schlafen lassen. Natürlich waren wir wieder NICHT im Welpenzimmer - sondern auf der Couch.
JETZT schläft sie aber wie ein Baby♥ Innendrinnen scheint alles gut zu sein - die kleinen Tiger zappeln und ich bin weiterhin guter Dinge. #die_ewig_wartenden
TAG 63 | Loonie scheint sich an den Plan zu halten
Vergangene Nacht hatten wir eine ziemlich
autentische Generalprobe.
Wir haben also eine weitere Nacht kein Auge zugetan, aber immer noch keine Welpen. Loonie hat gestern am späten Abend wieder angefangen die Decken zu schütteln, sie hat ordentlich gehechelt und sie war wieder megaaaaa aufdringlich. Gegen 1 Uhr haben wir uns beide ins Welpenzimmer begeben und Loonie ist sogar brav unterm Rotlicht liegengeblieben. Sie hatte offensichtlich Wehen, jedoch waren die Abstände noch ziemlich groß und heute morgen gegen 6 Uhr ist sie dann wieder ganz brav eingeschlafen und seither, war sie nur einmal kurz wach. Sie war draussen, sie hat was gefuttert - ja sie hatte ordentlich Hunger - und danach ist sie wieder ganz friedlich weggeschlummert.
Jedoch ist die Temperatur runtergegangen auf 36,3° und ihr Bauch ist jetzt nach unten gerutscht. Es sieht in der Tat so aus, als ginge es bald los. Ich habe weiterhin ein gutes Gefühl. Da die Zwerge immer noch ordentlch strampeln, es GsD kein Wochenende ist und Loonie so cool rüberkommt, ist bei mir auch die Angst verflogen. Lange kann es nicht mehr dauern.
.
Wir gehen jetzt auf jeden Fall erstmal auf de Couch zum schlafen - wird bestimmt wieder eine lange Nacht.

Tag 64 | Bei uns läufts............
Den gestrigen Tag hat sie dann letztendlich komplett verschlafen - Abendbrot hat sie verweigert JÖHÖÖÖÖÖÖÖÖÖÖÖ | Endlich :-)
Spazieren gehen wollte sie gestern Nachmittag nicht, auch in den Garten wollte sie nicht, nur schnell zum Geschäfte verrichten.
Am Abend haben wir uns wieder auf die Couch begeben und da sind wir dann auch eingeschlafen. Die Prinzessin war extrem ruhig, kein Hecheln, kein Schnaufen, einfach mal gar nichts. Das fand ich ja ein bisschen komisch, dafür das es eigentlich unser Geburtstermin war. Mmmmmhhhhhhhhhh
Aber dann gings los. Kurz nach 2 Uhr mußte sie dringend raus, einschlafen konnte ich danach natürlich nicht mehr - also Fernseher an und Hund anstarren. Gegen 3 Uhr fing das große Hecheln an und sie wollte dann auch auf der Couch scharren.
Das wollte ich jedoch nicht, deshalb sind wir ins Welpenzimmer umgezogen.
Ich sage mal, bequem ist anders - aber da bleibe ich dann wohl bis der erste Welpen da ist - VIELLEICHT
Hatte ich erwähnt das diese Eröffnungsphase mit anhaltendem Hecheln, bei Erstlingshündinnen bis zu 36 Stunden dauern kann. Ich hoffe jetzt mal, sie sieht sich nicht als Erstlingshündin. Lassen wir uns überraschen. Auf jeden Fall hält sie sich ans Lehrbuch. Ununterbrochenes Hecheln, langsam ansteigend in der Intensität. Der starre Blick, die leicht zugekniffenen Augen, leicht rot unterlaufen, ständiges Putzen, ständiges Trinken um es direkt wieder auszuspucken | So gehört das, würde ich sagen.
Zumindest kommt es mir bekannt vor - aber es macht einen wahnsinnig, jedes mal :-)
Wir verharren jetzt also hier ganz brav bis der erste Tiger geschlüpft ist.
Böse Gedanken lassen wir einfach nicht zu - diesmal klappts..............
..
Tadaaaaaaaaaaaaaaaa | Auch DAS steht in unserem Lehrbuch | Tschüß Handtuch
Und nochmal Tadaaaaaaaaaaaaaaaaa | 17:03 Bürschchen Nr 1 - 17:23 Bürschen Nr 2
-> und weiter gehts im Wurftagebuch unserer kleinen D*Rotten♥
Rottweiler Sachsen Anhalt, Rottweiler Welpen Sachsen Anhalt, Rottweiler Magdeburg, Rottweiler Welpen, Rottweiler Züchter, ADRK, ADRK Welpen. Rottweiler Welpen Niedersachsen, Rottweilerwelpen Sachsen, Rottweilerzüchter ADRK, gesunde Rottweiler,
Rottweiler für die Familie












































































